骨骼肌肉疾病,你认得几种?

2022年4月19日 49点热度 0人点赞

骨骼肌肉疾病会造成骨质不同程度的破坏,影响骨周边的软组织和肌肉,威胁到骨的正常活动的生理功能。

工具/原料

  • X线

方法/步骤

  1. 1

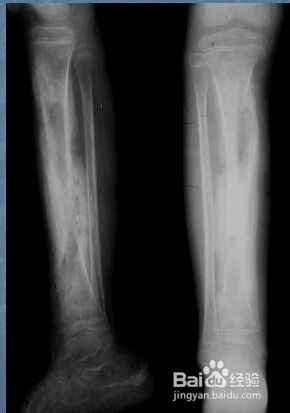
    一:急性化脓性骨髓炎X线。

  2. 2

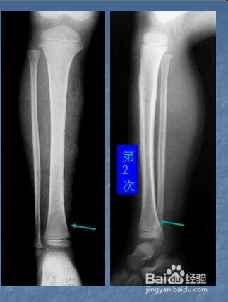
    二:慢性化脓性骨髓炎X线。

  3. 3

    三:骨结核X线。

  4. 4

    四:脊柱结核X线。

  5. 5

    五:关节结核X线。

  6. 6

    六:关节退行性变X线。

  7. 7

    七:类风湿性关节炎X线。

  8. 8

    八:   强直性脊柱炎X线。

    END

注意事项

  • 注意区分各种骨骼肌肉疾病。
经验内容仅供参考,如果您需解决具体问题(尤其法律、医学等领域),建议您详细咨询相关领域专业人士。
作者声明:本篇经验系本人依照真实经历原创,未经许可,谢绝转载。
展开阅读全部

laozhao

这个人很懒,什么都没留下

文章评论