在牙齿卫生方面,许多人低估了定期刷牙和保持牙龈健康的重要性。事实是,照顾好自己的牙齿可以帮助保持整个身体更有效地运作,并降低患上许多疾病的风险。最重要的是,健康的牙齿意味着更加优雅的外观,增强自信和整体生活满意度。
方法/步骤
-
1
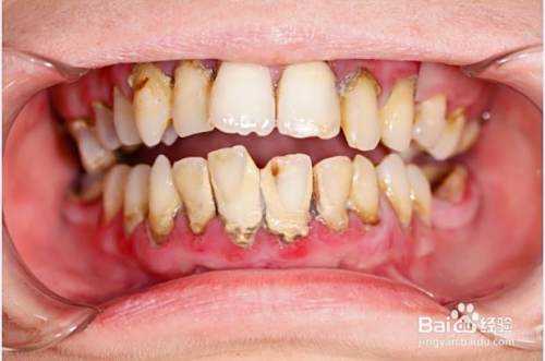
预防牙龈疾病。当一个人的嘴里有太多的牙菌斑和细菌堆积时,就会形成不健康的牙龈。许多人发现自己面临牙龈问题,最终患上了牙龈炎。牙龈炎会导致肿胀和出血,这是发展牙龈疾病的开始阶段。牙龈疾病可引发其他健康问题,并导致许多疼痛和不适。

-
2
现在采取小步骤将在未来节省大量时间和金钱。如果牙齿和牙龈被忽视,每六个月定期清洁的费用远远低于需要做的大修复的费用。可以采取许多预防措施,以避免在牙科护理上花费大量资金。如果忽略这些步骤,则不可避免地需要额外的维护。

-
3
保护你的心脏。口腔和心脏之间的联系比人们可能怀疑的更多。据认为,斑块积聚会导致有害细菌进入血液,从而影响心脏有效泵送的能力。此外,牙龈的炎症可能与整个人体内形成的凝块有关,这会影响血液流动并迫使心脏比平时更努力地工作。

-
4
牙齿问题具有增加人患糖尿病的可能性。牙龈疾病导致整个身体内无数问题,并影响控制胰岛素水平的能力,这将自然引发糖尿病。

-
5
防止脓肿。一个人的牙齿和整个嘴巴都有很多细菌。解决这种细菌并采取适当的措施去除它,可以防止感染最终变成痛苦的脓肿。发红,肿胀,开放性溃疡和口臭只是牙脓肿的许多症状中的一部分。它们也因疼痛而闻名,可以使牙齿非常敏感。忽视牙齿脓肿可能导致最终切除牙齿或根管。在其他情况下,牙龈本身需要排空,因此切口可以帮助消除感染。

-
6
在口腔中积聚的细菌可以迅速扩散到整个身体,因此在尝试生长另一种生命时,保持良好的牙科常规非常重要。在怀孕期间,保持最新的检查和每天至少刷牙两次仍然是安全的。

-
7
如果一个人在最后一餐之后进入刷牙的习惯,那么再次进食意味着必须再次刷牙,。一旦形成了习惯,刷牙后不会再有进食的想法。

-
8
防止口臭。当细菌积聚时,它们伴随着许多负面的东西。其中之一是来自口腔的难闻的气味。它很快就会开始变坏并发臭。这同样适用于卡在牙齿中的食物。如长的时间的不到清理,它会产生令人不快的气味,使那些不得不闻它的人感觉不舒服。

-
9
保持信心。由于不正确的牙科护理而产生的其他健康问题也会妨碍一个人的信心。当身体不能尽可能有效地运作时,它通常会影响情绪和舒适度。通过保持一切状态,态度将受到积极影响,从而影响整体生活观和提升自尊。
END
文章评论