相信很多糖尿病患者都会有一个烦恼,那就是口臭,不仅让自己很是苦恼,给别人也造成很大的困扰。为什么糖尿病会出现口臭的情况呢?糖尿病是一种全身性疾病,这意味着身体的各个器官都会波及,就连口腔也不能幸免。糖尿病患者免疫力比较差,这就会使得人体免疫平衡失衡,而口腔的细菌和微生物非常多,更容易引发感染,导致口臭的情况出现,其中,常见的五种情况有:

方法/步骤
-
1
面部软组织感染。这主要是由于细菌感染导致的,其症状为发红、发肿、疼痛,甚至会出现全身发热的情况。

-
2
牙周炎。这是最常见导致口臭的原因,其最典型的症状是牙龈出血。这种出血时间持续较长,久而久之就会出现牙龈萎缩,牙齿松动。研究发现,糖尿病患者患上牙周炎的风险是正常人的8倍。

-
3
糜烂性扁平苔藓。这个主要表现为口腔黏膜出现网状的白色的条纹、发红、糜烂,有痛感。如果伤口长期不愈合,甚至会有癌变的风险。

-
4
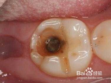
龋齿。糖尿病患者患病后唾液大幅减少,不能很好的清洁口腔,加上唾液的酸度上升,很容易造成龋菌的滋生。

-
5
口腔真菌感染。这种情况多为念珠菌感染,口腔通常会出现红斑、口角发炎,其发病率是普通人的两倍。

-
6
医生建议,糖尿病患者需要注意口腔的卫生,除了要每天刷牙清洁口腔外,最好每隔三个月进行一次口腔检查,每年洗一次牙。还有可以学习一些其他的牙齿保健技巧,例如叩齿、使用牙线等。此外,除了口腔护理,还可以通过日常饮食来调理。
END
一种粗粮泡茶缓解口臭降血糖
-
1
这个茶就是天然硒荞子茶。天然硒荞子茶,性平寒,益气力。它是由一种粗粮——荞子炒制而成的,泡茶香味浓郁,口感醇香,可以帮助缓解口臭。而且它可以促进身体排毒,调理肠胃,这对缓解口臭也是很有益处的。

-
2
更重要的是,天然硒荞子茶在调节血糖方面起着不错的作用。这主要得益与它含有丰富的微量元硒以及D-手性肌醇。因为它是获得了天然硒认证的茶,含有丰富的硒元素,长期饮用能够帮助人体补硒,除了可以帮助提高人体免疫力,其抗氧化的作用还能保护胰岛细胞免受过氧化物的损害,从而维持正常的胰岛素分泌。此外,其D-手性肌醇是一种可以促进胰岛β细胞分泌胰岛素的物质,从而帮助调节血糖。天然硒荞子茶另外一种物质——芦丁,可以改善血管的通透性和弹性,预防血管硬化,维持血管健康。所以很适合糖尿病患者尤其是有口臭情况的患者平时饮用辅助调理。
END
文章评论